Top Big Header - Smile Makeovers

Smile Confidently

Our Smile Speak For Themselves

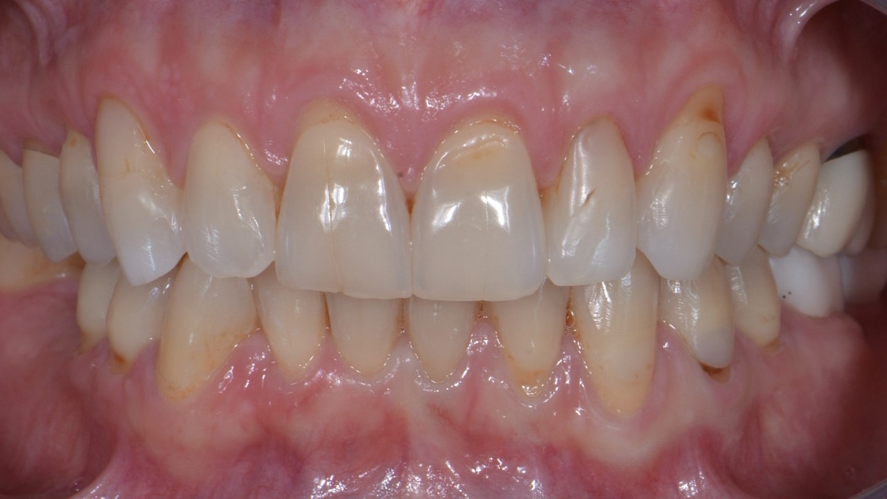
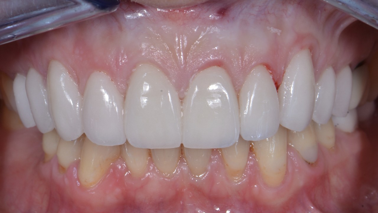
Before After
Before After
Before After
Before After
Before After
Before After
Before After
Before After
Before After
Before After
Before After
Before After
Before After
Before After

Ready to love your smile when you look in the mirror?
Schedule your appointment today!
Let us make you love your smile again!

Content

Smile Makeover Specialist
Financial District, New York, NY

A brilliant, beautiful smile can brighten your appearance and even your outlook on life. The experienced dental team at Wall Street Dental Spa in the Financial District of New York City is passionate about helping patients achieve their very best smiles with full or partial smile makeovers. From simple smile touch-ups to full-blown restorations, Wall Street Dental Spa is here for you. Call or book online for a consultation today.

Smile Makeover Q & A

Is a smile makeover right for me?

Wall Street Dental Spa offers partial or complete smile makeovers depending on your unique dental needs and aesthetic goals. A smile makeover merely means having at least one cosmetic dentistry procedure to brighten your smile. It can be a complex mouth reconstruction or a straightforward professional teeth whitening treatment.

What can a cosmetic dentist do for my smile?

Wall Street Dental Spa is committed to creating beautiful smiles. Cosmetic dentistry procedures at the practice include:

○ Professional in-office teeth whitening
○ Porcelain veneers
○ Dental implants
○ Invisalign®

In the end, your smile makeover will be unique to you. Your treatment program could include one or many of these options. Your dentist at Wall Street Dental Spa works with you to determine the best course of action for your needs, diligently explaining the pros and cons of each approach.

Next, it’s time to discuss your choices for a smile makeover. Your dentist places a high priority on patient education. They partner with you to design a successful treatment plan.

Your dentist can provide you with a visual rendering of what your smile might look like at the end of your makeover. You can then choose to go through with the procedure or not. Like the outcome? Get that smile makeover!

How much does cosmetic dentistry cost?

Wall Street Dental Spa believes in a conservative approach to dentistry and won’t recommend a procedure unless it benefits the health and beauty of your smile. They are also an advocate for accessible and affordable cosmetic dentistry. That’s why Wall Street Dental Spa offers many different payment plans and financial arrangements, making it easy for you to finance your entire smile makeover.

Could your smile be healthier, brighter, and more radiant? If so, call Wall Street Dental Spa or make an appointment online today.

Our Services

Insurance We Accept

We accept most PPO insurances plans, Medicaid/HMO Plans are not accepted.

Insurance Logo - Smile Makeovers Insurance Logo - Smile Makeovers Insurance Logo - Smile Makeovers Insurance Logo - Smile Makeovers Insurance Logo - Smile Makeovers Insurance Logo - Smile Makeovers Insurance Logo - Smile Makeovers Insurance Logo - Smile Makeovers Insurance Logo - Smile Makeovers Insurance Logo - Smile Makeovers Insurance Logo - Smile Makeovers Insurance Logo - Smile Makeovers Insurance Logo - Smile Makeovers Insurance Logo - Smile Makeovers Insurance Logo - Smile Makeovers
  • Hours:

  • Mon & Wed: 9:00 am — 6:00 pm
  • Tue & Thu: 8:00 am — 6:00 pm
  • Fri: 8:00 am — 3:00 pm
  • Sat & Sun: Closed
  • Location:

  • Wall Street Dental Spa
  • 30 Wall Street, Suite 720
  • Financial District
  • New York, NY 10005
  • Phone: 646-960-7504
  • Fax: 212-514-8510